Tedavilerimiz
Dehadent Ağız ve Diş Sağlığı Polikliniği, alanında uzman hekimleri ve modern teknolojisiyle estetik diş hekimliği, implant, ortodonti, protez, cerrahi ve daha birçok alanda kapsamlı tedavi hizmetleri sunar. Ağız ve diş sağlığınızı korumayı ve estetik bir gülüş kazandırmayı hedefleyen güvenilir çözümlerle yanınızdadır.
Genel Diş Hekimliği
Kartal genel diş hekimliği hizmetleri, ağız ve diş sağlığının korunması, diş çürüklerinin tedavisi ve düzenli...
Çene Cerrahisi
Çene cerrahisi, ağız, çene ve yüz bölgesinde meydana gelen yapısal, fonksiyonel ve estetik problemleri teşhis...
İmplantoloji
Kartal implant tedavisi, eksik dişlerin yerine çene kemiğine yerleştirilen titanyum implantlar üzerin...
Estetik Diş Hekimliği
Kartal estetik diş hekimliği hizmetleri, dişlerin görünümünü iyileştirmek ve daha estetik bir gülüş elde...
Dijital Diş Hekimliği
Dijital diş hekimliği, geleneksel yöntemlerin yerini alan daha hassas, hızlı ve hasta dostu bir yaklaşım...
Periodontoloji
Periodontoloji, diş eti hastalıklarının teşhis, tedavi ve takibini içeren diş hekimliği dalıdır.
Ortodonti
Kartal ortodonti tedavisi, dişlerdeki çapraşıklıkların ve çene hizalama problemlerinin düzeltilmesin...
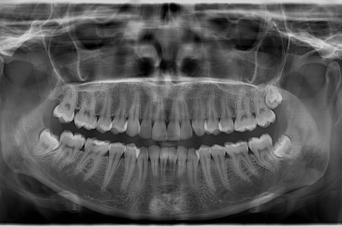
Dental Radyoloji
Dental radyoloji, diş ve çene sağlığını değerlendirmek, tedavi planlaması yapmak ve potansiyel sorunları...
